[vc_row css=”.vc_custom_1668914769619{margin-top: 10px !important;border-top-width: 10px !important;padding-top: 10px !important;}”][vc_column width=”1/2″]

Invisalign invisible braces
[ultimate_spacer height=”30″][/vc_column][vc_column width=”1/2″][ultimate_heading main_heading=”Aligners” main_heading_color=”#1e73be” alignment=”left” margin_design_tab_text=””]

Aligners are transparent trays that move teeth.

With aligners, you can

  • Smile with Confidence at all times
  • Remove easily anytime
  • Eat anything anytime

For simple cases, Aligner Treatment can give amazing results in as low as 3 months.[/ultimate_heading][ultimate_spacer height=”30″][ultimate_spacer height=”30″][/vc_column][/vc_row][vc_row bg_type=”bg_color” bg_override=”full” bg_color_value=”#fcfcfc”][vc_column][ultimate_spacer height=”30″][ultimate_heading main_heading=”Alignment Issues Aligners can fix” main_heading_color=”#1e73be”][/ultimate_heading][ultimate_spacer height=”30″]

[ultimate_spacer height=”40″][ultimate_spacer height=”30″][/vc_column][/vc_row][vc_row][vc_column][ultimate_spacer height=”30″][ultimate_heading main_heading=”Choose to Smile with Aligners” main_heading_color=”#1e73be”][/ultimate_heading][ultimate_spacer height=”30″]
aligners and braces smile comparison
[ultimate_spacer height=”30″][ultimate_heading main_heading=”Aligners vs Braces” heading_tag=”h3″ main_heading_color=”#1e73be”][/ultimate_heading][ultimate_spacer height=”20″]
Comparison of Aligners with Braces
[vc_row_inner gap=”10″ disable_element=”yes”][vc_column_inner width=”5/12″][ultimate_heading main_heading=”Aligners” heading_tag=”h4″ main_heading_color=”#1e73be” alignment=”right”][/ultimate_heading][/vc_column_inner][vc_column_inner width=”2/12″][ultimate_heading main_heading=”vs” heading_tag=”h5″ main_heading_color=”#729abf”][/ultimate_heading][/vc_column_inner][vc_column_inner width=”5/12″][ultimate_heading main_heading=”Metal Braces” heading_tag=”h4″ main_heading_color=”#1e73be” alignment=”left”][/ultimate_heading][/vc_column_inner][/vc_row_inner][ultimate_spacer height=”20″][vc_row_inner content_placement=”middle” disable_element=”yes”][vc_column_inner width=”3/12″][/vc_column_inner][vc_column_inner width=”2/12″][ultimate_spacer height=”20″][ultimate_heading main_heading=”Not easily visible” heading_tag=”h5″ main_heading_color=”#474747″ alignment=”right”][/ultimate_heading][/vc_column_inner][vc_column_inner width=”1/12″][vc_icon icon_fontawesome=”far fa-thumbs-up” color=”green”][/vc_column_inner][vc_column_inner width=”1/12″][vc_icon icon_fontawesome=”far fa-thumbs-down” color=”juicy_pink”][/vc_column_inner][vc_column_inner width=”2/12″][ultimate_spacer height=”20″][ultimate_heading main_heading=”Easy to notice” heading_tag=”h5″ main_heading_color=”#474747″ alignment=”left”][/ultimate_heading][/vc_column_inner][vc_column_inner width=”3/12″][/vc_column_inner][/vc_row_inner][vc_row_inner disable_element=”yes”][vc_column_inner width=”2/12″][/vc_column_inner][vc_column_inner width=”3/12″][ultimate_spacer height=”20″][ultimate_heading main_heading=”Remove easily anytime” heading_tag=”h5″ main_heading_color=”#474747″ alignment=”right”][/ultimate_heading][/vc_column_inner][vc_column_inner width=”1/12″][vc_icon icon_fontawesome=”far fa-thumbs-up” color=”green”][/vc_column_inner][vc_column_inner width=”1/12″][vc_icon icon_fontawesome=”far fa-thumbs-down” color=”juicy_pink”][/vc_column_inner][vc_column_inner width=”3/12″][ultimate_spacer height=”20″][ultimate_heading main_heading=”Fixed, cannot remove” heading_tag=”h5″ main_heading_color=”#474747″ alignment=”left”][/ultimate_heading][/vc_column_inner][vc_column_inner width=”2/12″][/vc_column_inner][/vc_row_inner][vc_row_inner disable_element=”yes”][vc_column_inner width=”2/12″][/vc_column_inner][vc_column_inner width=”3/12″][ultimate_spacer height=”20″][ultimate_heading main_heading=”Eat anything anytime” heading_tag=”h5″ main_heading_color=”#474747″ alignment=”right”][/ultimate_heading][/vc_column_inner][vc_column_inner width=”1/12″][vc_icon icon_fontawesome=”far fa-thumbs-up” color=”green”][/vc_column_inner][vc_column_inner width=”1/12″][vc_icon icon_fontawesome=”far fa-thumbs-down” color=”juicy_pink”][/vc_column_inner][vc_column_inner width=”3/12″][ultimate_spacer height=”20″][ultimate_heading main_heading=”Food habit alterations” heading_tag=”h5″ main_heading_color=”#474747″ alignment=”left”][/ultimate_heading][/vc_column_inner][vc_column_inner width=”2/12″][/vc_column_inner][/vc_row_inner][vc_row_inner disable_element=”yes”][vc_column_inner width=”1/12″][/vc_column_inner][vc_column_inner width=”4/12″][ultimate_spacer height=”20″][ultimate_heading main_heading=”Planned tooth movement” heading_tag=”h5″ main_heading_color=”#474747″ alignment=”right”][/ultimate_heading][/vc_column_inner][vc_column_inner width=”1/12″][vc_icon icon_fontawesome=”far fa-thumbs-up” color=”green”][/vc_column_inner][vc_column_inner width=”1/12″][vc_icon icon_fontawesome=”far fa-thumbs-down” color=”juicy_pink”][/vc_column_inner][vc_column_inner width=”4/12″][ultimate_spacer height=”20″][ultimate_heading main_heading=”Wider range of tooth movement” heading_tag=”h5″ main_heading_color=”#474747″ alignment=”left”][/ultimate_heading][/vc_column_inner][vc_column_inner width=”1/12″][/vc_column_inner][/vc_row_inner][vc_row_inner disable_element=”yes”][vc_column_inner width=”1/12″][/vc_column_inner][vc_column_inner width=”4/12″][ultimate_spacer height=”20″][ultimate_heading main_heading=”Easy to maintain oral hygiene” heading_tag=”h5″ main_heading_color=”#474747″ alignment=”right”][/ultimate_heading][/vc_column_inner][vc_column_inner width=”1/12″][vc_icon icon_fontawesome=”far fa-thumbs-up” color=”green”][/vc_column_inner][vc_column_inner width=”1/12″][vc_icon icon_fontawesome=”far fa-thumbs-down” color=”juicy_pink”][/vc_column_inner][vc_column_inner width=”4/12″][ultimate_spacer height=”20″][ultimate_heading main_heading=”Rigorous oral hygiene measures” heading_tag=”h5″ main_heading_color=”#474747″ alignment=”left”][/ultimate_heading][/vc_column_inner][vc_column_inner width=”1/12″][/vc_column_inner][/vc_row_inner][vc_row_inner disable_element=”yes”][vc_column_inner width=”2/12″][/vc_column_inner][vc_column_inner width=”3/12″][ultimate_spacer height=”20″][ultimate_heading main_heading=”Smooth and flexible” heading_tag=”h5″ main_heading_color=”#474747″ alignment=”right”][/ultimate_heading][/vc_column_inner][vc_column_inner width=”1/12″][vc_icon icon_fontawesome=”far fa-thumbs-up” color=”green”][/vc_column_inner][vc_column_inner width=”1/12″][vc_icon icon_fontawesome=”far fa-thumbs-down” color=”juicy_pink”][/vc_column_inner][vc_column_inner width=”3/12″][ultimate_spacer height=”20″][ultimate_heading main_heading=”Poking parts” heading_tag=”h5″ main_heading_color=”#474747″ alignment=”left”][/ultimate_heading][/vc_column_inner][vc_column_inner width=”2/12″][/vc_column_inner][/vc_row_inner][vc_row_inner disable_element=”yes”][vc_column_inner width=”2/12″][/vc_column_inner][vc_column_inner width=”3/12″][ultimate_spacer height=”20″][ultimate_heading main_heading=”Less chairside time” heading_tag=”h5″ main_heading_color=”#474747″ alignment=”right”][/ultimate_heading][/vc_column_inner][vc_column_inner width=”1/12″][vc_icon icon_fontawesome=”far fa-thumbs-up” color=”green”][/vc_column_inner][vc_column_inner width=”1/12″][vc_icon icon_fontawesome=”far fa-thumbs-down” color=”juicy_pink”][/vc_column_inner][vc_column_inner width=”3/12″][ultimate_spacer height=”20″][ultimate_heading main_heading=”Longer appointments” heading_tag=”h5″ main_heading_color=”#474747″ alignment=”left”][/ultimate_heading][/vc_column_inner][vc_column_inner width=”2/12″][/vc_column_inner][/vc_row_inner][vc_row_inner disable_element=”yes”][vc_column_inner width=”1/12″][/vc_column_inner][vc_column_inner width=”4/12″][ultimate_spacer height=”20″][ultimate_heading main_heading=”Easy change of Aligners at home” heading_tag=”h5″ main_heading_color=”#474747″ alignment=”right”][/ultimate_heading][/vc_column_inner][vc_column_inner width=”1/12″][vc_icon icon_fontawesome=”far fa-thumbs-up” color=”green”][/vc_column_inner][vc_column_inner width=”1/12″][vc_icon icon_fontawesome=”far fa-thumbs-down” color=”juicy_pink”][/vc_column_inner][vc_column_inner width=”4/12″][ultimate_spacer height=”20″][ultimate_heading main_heading=”No wire changes at home” heading_tag=”h5″ main_heading_color=”#474747″ alignment=”left”][/ultimate_heading][/vc_column_inner][vc_column_inner width=”1/12″][/vc_column_inner][/vc_row_inner][vc_row_inner disable_element=”yes”][vc_column_inner width=”2/12″][/vc_column_inner][vc_column_inner width=”3/12″][ultimate_spacer height=”20″][ultimate_heading main_heading=”Less clinic visits” heading_tag=”h5″ main_heading_color=”#474747″ alignment=”right”][/ultimate_heading][/vc_column_inner][vc_column_inner width=”1/12″][vc_icon icon_fontawesome=”far fa-thumbs-up” color=”green”][/vc_column_inner][vc_column_inner width=”1/12″][vc_icon icon_fontawesome=”far fa-thumbs-down” color=”juicy_pink”][/vc_column_inner][vc_column_inner width=”3/12″][ultimate_spacer height=”20″][ultimate_heading main_heading=”More frequent clinic visits” heading_tag=”h5″ main_heading_color=”#474747″ alignment=”left”][/ultimate_heading][/vc_column_inner][vc_column_inner width=”2/12″][/vc_column_inner][/vc_row_inner][vc_row_inner disable_element=”yes”][vc_column_inner width=”1/12″][/vc_column_inner][vc_column_inner width=”4/12″][ultimate_spacer height=”20″][ultimate_heading main_heading=”Can be shipped at your home” heading_tag=”h5″ main_heading_color=”#474747″ alignment=”right”][/ultimate_heading][/vc_column_inner][vc_column_inner width=”1/12″][vc_icon icon_fontawesome=”far fa-thumbs-up” color=”green”][/vc_column_inner][vc_column_inner width=”1/12″][vc_icon icon_fontawesome=”far fa-thumbs-down” color=”juicy_pink”][/vc_column_inner][vc_column_inner width=”4/12″][ultimate_spacer height=”20″][ultimate_heading main_heading=”Clinic visit a must” heading_tag=”h5″ main_heading_color=”#474747″ alignment=”left”][/ultimate_heading][/vc_column_inner][vc_column_inner width=”1/12″][/vc_column_inner][/vc_row_inner][ultimate_spacer height=”30″][/vc_column][/vc_row][vc_row bg_type=”bg_color” bg_override=”full” bg_color_value=”#fcfcfc”][vc_column][ultimate_spacer height=”30″][ultimate_heading main_heading=”How do Aligners work?” main_heading_color=”#1e73be”][/ultimate_heading][ultimate_spacer height=”30″][vc_row_inner][vc_column_inner width=”1/3″][ult_ihover responsive_size=”on”][ult_ihover_item title=”Step by step movement of teeth” thumb_img=”id^15421|url^https://test.smilespecialists.in/wp-content/uploads/2022/11/Process-1.png|caption^null|alt^null|title^Process|description^null” info_color_bg=”#1e73be” title_responsive_font_size=”desktop:22px;” title_responsive_line_height=”desktop:28px;” desc_responsive_font_size=”desktop:12px;” desc_responsive_line_height=”desktop:18px;”]Aligners move teeth at the rate of 0.2 mm per month. This little rate enables teeth to move physiologically and without much discomfort.[/ult_ihover_item][/ult_ihover][ultimate_heading main_heading=”Movement of teeth in little increaments” heading_tag=”h5″][/ultimate_heading][/vc_column_inner][vc_column_inner width=”1/3″][ult_ihover responsive_size=”on”][ult_ihover_item title=”Gentle force on teeth” thumb_img=”id^15423|url^https://test.smilespecialists.in/wp-content/uploads/2022/11/Gentle-force-on-teeth-3.png|caption^null|alt^null|title^Gentle force on teeth|description^null” info_color_bg=”#1e73be” title_responsive_font_size=”desktop:22px;” title_responsive_line_height=”desktop:28px;” desc_responsive_font_size=”desktop:12px;” desc_responsive_line_height=”desktop:18px;”]Aligners apply very small amount of force on teeth. Sometimes not all teeth move at the same time, further decreasing the discomfort[/ult_ihover_item][/ult_ihover][ultimate_heading main_heading=”Aligners apply forces under physiologic limits” heading_tag=”h5″][/ultimate_heading][/vc_column_inner][vc_column_inner width=”1/3″][ult_ihover responsive_size=”on”][ult_ihover_item title=”Changes seen every month” thumb_img=”id^15422|url^https://test.smilespecialists.in/wp-content/uploads/2022/11/Tooth-Movement-1.png|caption^null|alt^null|title^Tooth Movement|description^null” info_color_bg=”#1e73be” title_responsive_font_size=”desktop:22px;” title_responsive_line_height=”desktop:28px;” desc_responsive_font_size=”desktop:12px;” desc_responsive_line_height=”desktop:18px;”]Movement of teeth with aligners is appreciable overtime. Initially, Aligners would feel tight. As the teeth move, aligners would feel little loose. This is when its time to wear the next Aligner.[/ult_ihover_item][/ult_ihover][ultimate_heading main_heading=”Visible improvement in teeth” heading_tag=”h5″][/ultimate_heading][/vc_column_inner][/vc_row_inner][ultimate_spacer height=”30″][/vc_column][/vc_row][vc_row][vc_column][ultimate_spacer height=”30″][ultimate_heading main_heading=”Aligners for all Ages” main_heading_color=”#1e73be”][/ultimate_heading][ultimate_spacer height=”30″][vc_row_inner equal_height=”yes” gap=”10″][vc_column_inner width=”1/3″]
Aligners for Old
[/vc_column_inner][vc_column_inner width=”1/3″]
Aligners for Young Adults
[/vc_column_inner][vc_column_inner width=”1/3″]
Aligners for kids
[/vc_column_inner][/vc_row_inner][ultimate_spacer height=”30″][/vc_column][/vc_row][vc_row bg_type=”bg_color” bg_override=”full” bg_color_value=”#fcfcfc”][vc_column width=”1/2″][ultimate_spacer height=”40″][ultimate_heading main_heading=”How are Aligners made ?” heading_tag=”h3″ main_heading_color=”#1e73be” alignment=”left”]

At Smile Specialists, each step of Aligners manufacturing is guided by the Specialist, Dr. Shubhra Jain Mogre.

Advantages of choosing the Specialist for your Aligner treatment

  • Holistic treatment approach
  • Treatment under expert supervision
  • Wider choice of Aligner materials

[/ultimate_heading][/vc_column][vc_column width=”1/2″][ultimate_spacer height=”40″][vc_video link=”https://www.youtube.com/watch?v=PFJAOxh0kX4″][ultimate_spacer height=”40″][/vc_column][/vc_row][vc_row][vc_column][ultimate_spacer height=”30″][ultimate_heading main_heading=”Before and After Aligners : Drag the Slider” main_heading_color=”#1e73be”][/ultimate_heading][ultimate_spacer height=”30″][vc_row_inner equal_height=”yes” gap=”10″][vc_column_inner width=”1/3″]

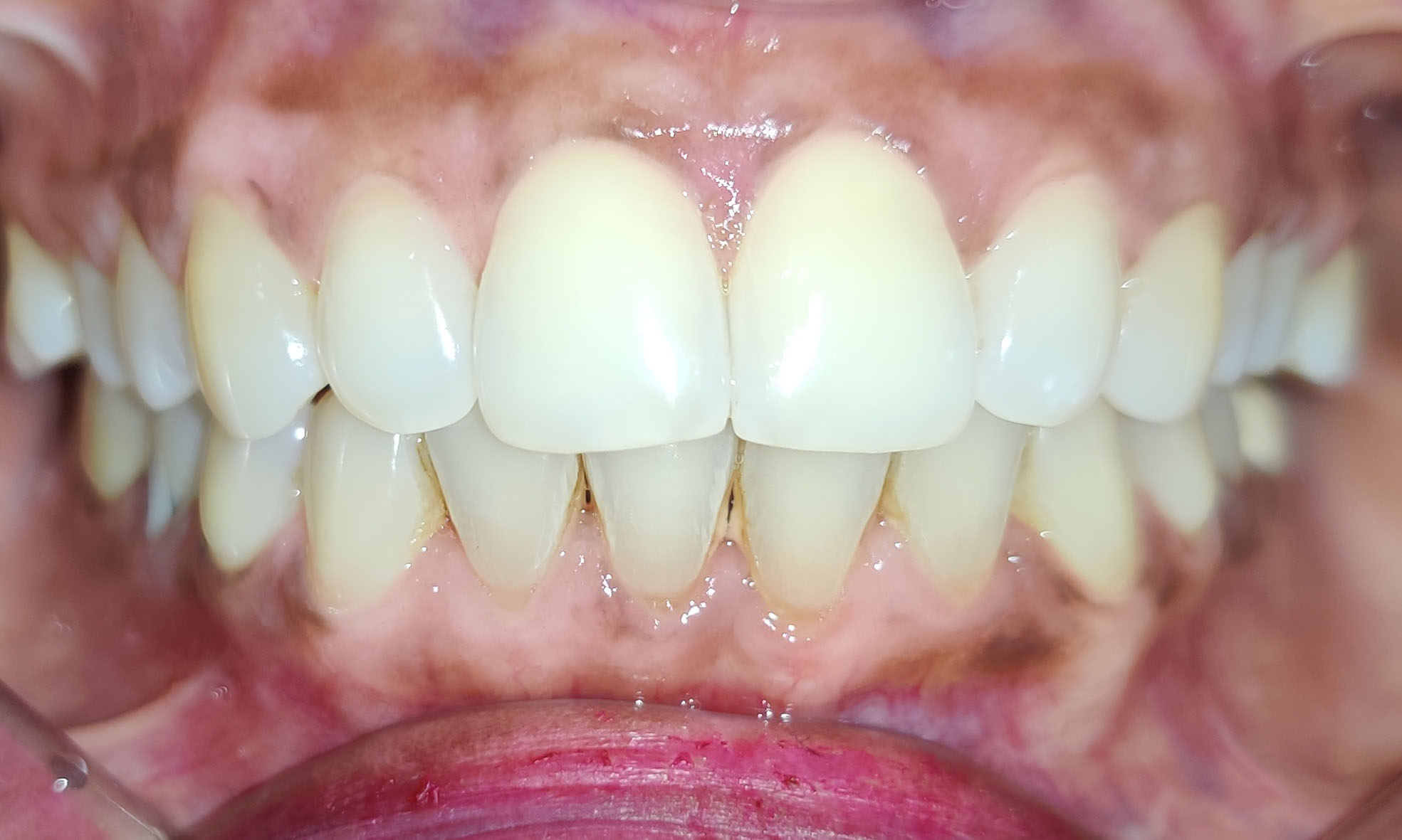
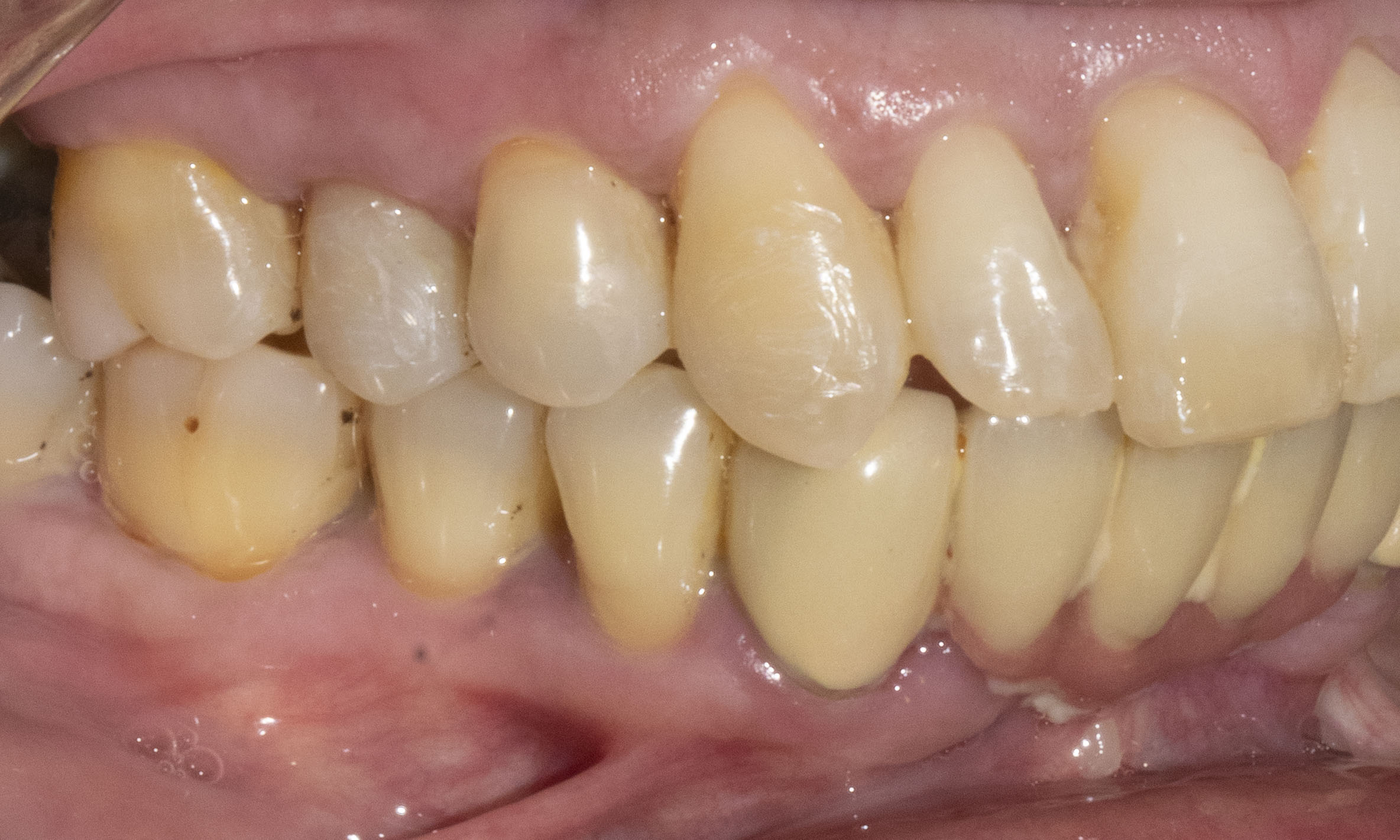
Aligner Treatment of spaces between teethAfter Aligners
[/vc_column_inner][vc_column_inner width=”1/3″]
forward teethTeeth brought back with Aligners
[/vc_column_inner][vc_column_inner width=”1/3″]
[/vc_column_inner][/vc_row_inner][ultimate_spacer height=”30″][ultimate_spacer height=”30″][/vc_column][/vc_row][vc_row bg_type=”bg_color” bg_override=”full” bg_color_value=”#fcfcfc”][vc_column][ultimate_spacer height=”30″][ultimate_heading main_heading=”Cost of Aligners Explained” main_heading_color=”#1e73be”][/ultimate_heading][ultimate_spacer height=”30″][vc_row_inner][vc_column_inner width=”1/2″]
[/vc_column_inner][vc_column_inner width=”1/2″][ultimate_heading alignment=”left”]At Smile Specialists, we offer the widest range of Aligners to choose from, like no-one else.

We offer three different types of Aligners materials.

The difference is the composition, handling, flexibility and cost.

The final cost of your treatment would depend on the severity of tooth movement required to give you the desired smile and the material you choose.

We believe in holistic treatment. Before starting Aligner treatment, we examine

  • Health of gums and bone
  • Functions of tongue and oro-facial muscles

Adjunctive treatments like Orofacial Myotherapy, frenectomy etc. are provided for better results.[/ultimate_heading][/vc_column_inner][/vc_row_inner][ultimate_spacer height=”30″][/vc_column][/vc_row][vc_row][vc_column][ultimate_spacer height=”30″][ultimate_heading main_heading=”Estimated Cost of Aligners for you” main_heading_color=”#1e73be”][/ultimate_heading][ultimate_spacer height=”30″][vc_row_inner equal_height=”yes” gap=”10″][vc_column_inner width=”1/3″][ultimate_heading main_heading=”Simple Aligner Treatment” heading_tag=”h5″][/ultimate_heading][ultimate_spacer height=”10″][vc_video link=”https://youtube.com/shorts/OnBJUx2HDRU”][ultimate_spacer height=”10″][ultimate_heading main_heading=”3 – 5 months treatment time” heading_tag=”h5″ main_heading_color=”#000000″ sub_heading_color=”#1e73be”]

5 – 8 Aligners

₹ 40,000 – ₹ 50,000[/ultimate_heading][/vc_column_inner][vc_column_inner width=”1/3″][ultimate_heading main_heading=”Moderate Aligner Treatment” heading_tag=”h5″][/ultimate_heading][ultimate_spacer height=”10″][vc_video link=”https://youtube.com/shorts/5RKvludwexM”][ultimate_spacer height=”10″][ultimate_heading main_heading=”6 – 9 months Treatment time” heading_tag=”h5″ sub_heading_color=”#1e73be”]

12 – 18 Aligners

₹ 60,000 – ₹ 80,000[/ultimate_heading][/vc_column_inner][vc_column_inner width=”1/3″][ultimate_heading main_heading=”Complex Aligner Treatment” heading_tag=”h5″][/ultimate_heading][ultimate_spacer height=”10″][vc_video link=”https://youtube.com/shorts/Va18Vm7MF1c”][ultimate_spacer height=”10″][ultimate_heading main_heading=”1 – 2 years Treatment Time” heading_tag=”h5″ sub_heading_color=”#1e73be”]

30 – 40 Aligners

₹ 1,20,000 – ₹ 2,00,000[/ultimate_heading][/vc_column_inner][/vc_row_inner][ultimate_spacer height=”30″][/vc_column][/vc_row][vc_row disable_element=”yes”][vc_column][ultimate_heading main_heading=”Patients’ Experiences” main_heading_color=”#1e73be”][/ultimate_heading][/vc_column][/vc_row][vc_row full_width=”stretch_row” equal_height=”yes” content_placement=”middle” css=”.vc_custom_1668948816576{background-color: #39465d !important;}”][vc_column width=”1/2″ offset=”vc_hidden-sm vc_hidden-xs”][ultimate_heading main_heading=”Have any questions? Call us Now!” heading_tag=”h4″ main_heading_color=”rgba(255,255,255,0.5)” sub_heading_color=”#ffffff” alignment=”right” main_heading_font_size=”desktop:28px;tablet:20px;” main_heading_line_height=”desktop:42px;tablet:34px;”][/ultimate_heading][/vc_column][vc_column width=”1/2″ offset=”vc_hidden-sm vc_hidden-xs”][ultimate_spacer height=”20″][bsf-info-box icon=”icomoon-the7-font-the7-phone-03″ icon_size=”52″ icon_color=”#ffffff” icon_style=”advanced” icon_color_bg=”” icon_border_spacing=”60″ title=”8459747503″ read_more=”title” link=”url:tel%3A%2B918459747503″ hover_effect=”style_2″ pos=”left” el_class=”dt-phone” title_font_size=”desktop:48px;tablet:40px;mobile_landscape:30px;” title_font_line_height=”desktop:58px;tablet:50px;mobile_landscape:40px;” title_font_color=”#ffffff”][/bsf-info-box][/vc_column][/vc_row]